> 검색결과
통합검색결과
전체검색 카테고리검색 게시판검색 네이버검색
네이버 지역 NAVER OpenAPI 더많은검색결과
남원경치석
전북특별자치도 남원시 월락동 4
오복동물치과병원
서울특별시 마포구 대흥동 405-4 1층
연세드림치과의원
서울특별시 서대문구 홍제동 253-3 홍제빌딩 3층
행복한미래치과의원
서울특별시 마포구 염리동 174-14 403호
서울하이안치과의원 왕십리점
서울특별시 성동구 행당동 286-5 한동타워 4층
네이버 책 더많은검색결과
통일신라 건축유적의 치석과 결구
조원창 | 서경문화사 | 20221005
0원 43,200원
소개 이 책은 통일신라 건축유적들을 설명한 역사도서이다. 통일신라 건축유적의 치석과 결구의 기초적이고 전반적인 내용들이 수록되어 있다.
국제표준 도서번호(ISBN) : 9788960622449
백제 건축 치석과 결구를 보다
정훈진^심상육^이현숙^임종태^조원창 | 서경문화사 | 20190625
0원 21,600원
소개 ▶ 한국사에 관한 내용을 담은 전문서적입니다.
국제표준 도서번호(ISBN) : 9788960622159
Basic skill up for Scaling (치석제거 술기능력 향상을 위한 기본 실습서)
강현경^이수영^장선옥^김가연^김경미 | 의학교육 | 20230225
0원 20,680원
소개 『Scaling』은 치과위생에 대해 다룬 도서이며 〈치주조직을 알자〉, 〈치아의 형태를 알자〉, 〈방사선사진상에서 치조골과 치석을 알자〉 등을 수록하고 있어 기초적이고 전반적인 내용을 확인할 수 있다.
국제표준 도서번호(ISBN) : 9791161270975
네이버 쇼핑 더많은검색결과
네이버 지식인 더많은검색결과
셀프로 치석제거했는데 괜찮나요
아래 앞니에 치석이 생겨서 뾰족한걸로 좀 긁다가 치실하니까 조그만게 빠졌는데 좀 불편해요 치과에서 했을때보다... 다만, 치석은 평소 칫솔로 관리가 어려운 부분에 주로 생기니 다른 부분에도 치석이 있으리라 예상합니다. 때문에...
입냄새치료 치석제거 효과?(자양 입냄새치료)
자양 30대 초반/남 입냄새치료 치석 제거만으로 입냄새가 사라질까요? # 병원 위치 | 진료 예약 | 병원 홈페이지 | 문의... 입냄새치료 관련해서 질문을 주신것 같습니다 치석 제거는 입냄새 개선에 도움될 수 있습니다 한방치료를 병행하면...
이빨 치석?
스케일링 하고 나서 몇달뒤에 저렇게 됐는데 치석인가요 아니면... 치석이 맞습니다. 아랫니는 침이 아래로 잘 고이고 특히나... 특히 치석이 잘 생깁니다. 그래서 칫솔질도 아랫니 안쪽부터 꼼꼼하게 하시면 치석관리에 도움이 될수는...
네이버 카페글 더많은검색결과
고양이 치석 스프레이 효과있네요
봤더니 치석이 어금니를 다 덮고있더라구요 그때부터 반성하고 칫솔질해주려는데 애도 편하게 살다가... 오늘보니까 치석이 녹아있는거에요 치석이 녹은자리가 깨끗해보이진 않았지만 치석이 녹을수도 있구나 하고...
카페명: 고양이라서 다행이야
강아지 치석제거 말이에요
요즘 우리 아이 입냄새가 살짝 나서 치석제거를 해야 하나 고민 중이에요 검색해보니까 정기적으로 해주는 게 좋다는 말도 있고 치석제거 너무 자주 해주면 나중에 치석 더 잘깐다는(?) 말도 있던데 다들 어느 주기로...
카페명: 『여우야』뷰티카페 (성형수술/화장품...
구강제(치석제거) 문의드립니다.
그래서 양치는 먼나라얘긴데, 시그니처바이 오라뮨캣 스틱 닭가슴살 고양이 츄르 치석제거 주시는분계시나요?ㅜㅜ 전 간식은 하나도안줍니다 오직 건사료 습식입니다. 참치도안줘서.. 근데 치석제거로 저거줘도 괜찮나요?
카페명: 고양이라서 다행이야
네이버 이미지 더많은검색결과
네이버 백과사전 더많은검색결과
치석
치석영양학사전 치아의 표면에 부착되는 석회성 침착물. 치아의 청소가 불충분한 경우에, 치구(齒垢)에 칼슘이나 마그네슘의 인산염이 침착하여 형성되는데, 그 속도에는 개인차가 있다. 일단 형
치석
치면세균막(dental plaque)이 치아표면에 부착된 채 단단하게 굳어진 것. [정의] 치석이란 치면세균막(덴탈 플라크)에 타액과 치은열구(치아와 잇몸 사이의 공간)액에서 유래한 칼슘(Ca), 인(P)등의 무기
치석
치석은 입 속에 남은 음식 찌꺼기에 세균이 들러붙어 만들어지는 치태가 단단하게 굳어진 것을 말해요. 입 속 음식물이 제대로 제거되지 않으면 치석이 된다. (출처: 게티이미지뱅크) ​ 치석은 충
네이버 웹문서 더많은검색결과
치석 - 나무위키
치석은 치아에 붙은 치태(와 기타 물질)가 굳어져 석회화된 것이다. 쉽게 제거할 수 없는 노란 물질이다.
치석 [dental calculus] | 의학정보 | 건강정보
치석은 치면세균막(dental plaque)이 치아표면에 부착된 채 단단하게 굳어진 것
치석제거 | 국가건강정보포털
치석은 표면이 거칠고 구멍이 많아 치태(프라그) 세균이 부착하기 좋은 조건을 제공합니다. 또한 치석에는 치태(프라그) 세균이 생산한 독성물질이 쌓여 있어 잇몸에 닿으면 염증을 일으킵니다.
치석제거 급여안내
치석은 치주질환을 일으키는 주된 요인으로 치석제거의 급여대상을 확대함으로써 치은염, 치주질환 및 풍치, 치아소실을 예방하여 국민의 구강건강을 향상시키고자 함
네이버 전문자료 더많은검색결과
치석제거 건강보험 급여확대 정책이 치은염 및 치주질환환자의 치과의
The effects of the scaling health insurance coverage expansion policy on the use of dental services among patients with gingivitis and
의료 소비자의 사회경제학적 특성, 구강보건행태에 따른 치석제거보험
The convergence study of scaling insurance coverage in socioeconomic, oral health behaviors -Medical consumer 본 연구는 의료소
치과위생사의 치석제거 작업자세와 근골격계질환 자각증상의 융복합적
Convergence Relationship between Scaling Work Posture and Symptoms of Musculoskeletal Disorders in Dental Hygienists 본 연구는 치
네이버 블로그 더많은검색결과
강아지껌 톱니 모양이라 치석제거 잘돼요
마침 치석도 심해진 것 같아서 계속 걱정이 많았는데 다행히 돌파구로 강아지껌을 찾았어요. 육류... 강아지의 치석은 사람에 비해 상당히 빨리 생길 수 있어요. 무려 7배나 빠르게 발생한다고 하는데요. 구강 속...
아이러브펫 (blog.naver.com/fd929610)
덴탈껌 치석제거 잘 돼서 선택
치석이 점점 심해지는 우리 집 멍멍이 저는 반려동물을 오랜 시간 키웠어요. 한 마리를 보낸 후 다시 한... 이번에는 치석 문제 때문에 몇 가지 고민이 있었어요. 다행히 강아지 덴탈껌을 만나 해결이 되었지만...
댕댕냐옹이 (blog.naver.com/daengcat2024)
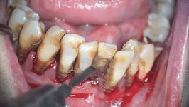
앞니 치석 검은색 착색된 침착물 스케일링 제거로
치아 뒷면으로 유독 많이 쌓이는 앞니 치석 또 거뭇하게 착색되기도 치아 표면에 누런빛을 띠는 침착물인 치석은 구강 내에서 다양한 문제를 일으킬 수 있기 때문에 주기적인 제거가 반드시 필요해요. 부드럽고...
✅ 노형 그랜드치과 김태훈 대표원장 (blog.naver.com/grandjeju0000)
네이버 뉴스 더많은검색결과
임플란트, 유지관리 소홀하면 '재시술 위험' 커진다
등록일 : 2025-11-07 16:52:00
임플란트 주위염은 임플란트 주변 잇몸에 세균과 치석이 쌓이면서 염증이 생기는 질환이다. 초기에는 특별한... 스케일링을 통해 치석을 제거하고, 보철물 하단부의 청결 상태를 확인하는 것이 중요하다. 임플란트 주위염은...
치주염, 통증 없다고 방심은 금물… 조기 진단이 치아를 살린다
등록일 : 2025-11-07 13:58:00
플라크와 치석이다. 음식물 잔사나 세균이 잇몸과 치아 경계 부위에 쌓이면서 염증을 일으키고, 시간이 지나면 치조골을 손상시킨다. 정상 원장은 "일반적인 스케일링으로 제거할 수 있는 것은 잇몸 위의 치석에 불과하다...
"양치 소홀히 하다 당뇨 올 수도"… 전신 건강 지키는 올바른 구강 관리...
등록일 : 2025-11-07 12:00:00
물론, 치석까지 제거한다"고 설명했다. 이어 "구강 세정기로 스케일링 치료를 대체하는 것은 불가능하다. 다만, 교정 치료 중이거나 브리지와 같이 연결된 형태의 보철물 때문에 치실 사용이 어려운 경우 유용하며, 잇몸...
실시간 검색어
설문조사
다음 중 민요 계열의 4구체 향가가 아닌 것은?
모죽지랑가
서동요
풍요
헌화가
도솔가
랭킹정보
1위
Warning: imagejpeg() [function.imagejpeg]: Unable to open './upload/happy_thumb/188x140_93/mallimg/2023/07/20/1689832038-6421_N_7_188x140_93_2_2.jpg' for writing: Permission denied in /home/moremoa/www/inc/lib.php on line 15316
D-4839 | 후원완료
3위
Warning: imagejpeg() [function.imagejpeg]: Unable to open './upload/happy_thumb/188x140_93/mallimg/2023/07/20/1689834211-1635_N_7_188x140_93_2_2.jpg' for writing: Permission denied in /home/moremoa/www/inc/lib.php on line 15316
D-4661 | 후원완료